EXCLUSIVE - Mahsa Amini Told Eyewitness Police Struck Her In The Head

An eyewitness has told Iran International that Mahsa Amini who died in police custody had told her in a detention room that an officer had hit her on the head.

An eyewitness has told Iran International that Mahsa Amini who died in police custody had told her in a detention room that an officer had hit her on the head.
The eyewitness who did not want to be identified because of her safety in Iran had also been arrested for “improper hijab” and saw Mahsa Amini in the police station before she collapsed and taken to hospital.
The 22-year-old whose death sparked the largest antigovernment protests in Iran, was complaining of pain in her head. When the eyewitness asked her the reason, she told her that police officers had hit her on the head.
The eyewitness told Iran International that she heard from others in the police station that Mahsa Amini had hesitated to step out of the police van that brought her to the station. At that point a ranking police officer had hit her on the head and forced her out of the van.
In the police station waiting room, Mahsa repeatedly asked female agents about why she was arrested as her attire seemed proper. They aggressively dismissed her questions and complaints. At one point she collapsed to the ground and other women began screaming for medical help. The female guards dismissed her unconsciousness saying that she was pretending to be ill to get out of jail.
Then, after 30 minutes an unexperienced medic showed up, but Mahsa’s face began to turn white, and she seemed to enter a coma.

Female detainees began to scream and after a while another medic showed up who also seemed unexperienced, and finally after an hour a doctor showed up who tried to resuscitate her and after another 30 minutes an ambulance arrived to take her to hospital. In total, about two hours elapsed before Mahsa was taken to hospital, where she died three days later, while still in coma, on September 16.
The eyewitness said that those present asked guards many times to inform Mahsa’s brother, who was waiting outside the police station, about her condition, but the guards refused and acted aggressively toward the other detainees.
According to her, if police officers had not acted with indifference and Mahsa had been taken to hospital immediately, she would not enter a coma.
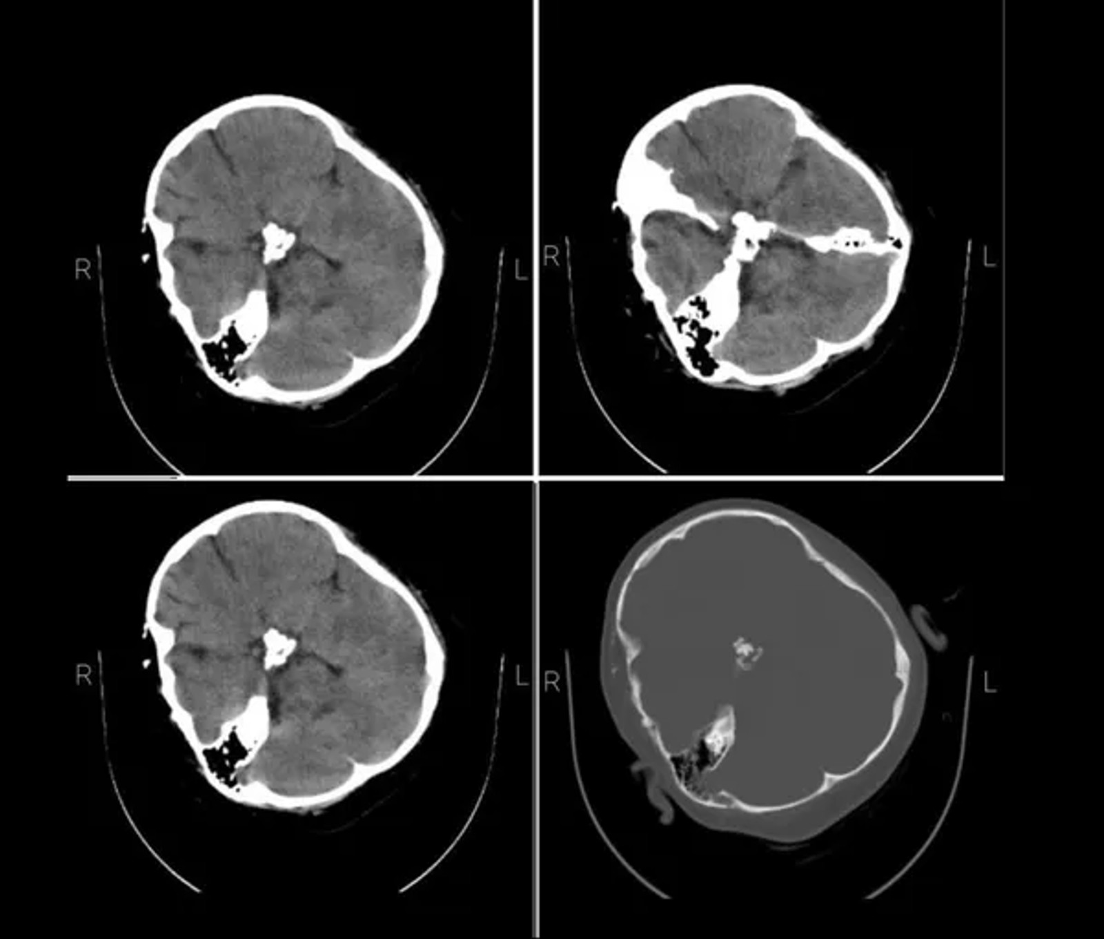
Doctors told Iran International earlier that all medical signs pointed to severe blows to Mahsa's head that fractured her skull, leading to a coma, and that they could not do anything to save her.
After Mahsa passed away, people in her hometown, Saqqez, and some other cities nearby, as well as around her hospital in Tehran began protests. The demonstrations spread to other cities and towns around Saqqez in western Iran and by September 18 protests spread to the capital, Tehran and other urban areas around the country.
At least 54 protesters were reported killed until September 24, but no one has the final toll, as the government rarely announces real figures.