دانشمندان راه جدیدی برای درمان سرطان کشف کردند

دانشمندان موفق به کشف «کلیدی مولکولی» شدهاند که میتواند سلولهای سرطانی را معکوس کند. از این کشف بهعنوان پیشرفتی چشمگیر و راهی جدید در درمان سرطان یاد میشود.

دانشمندان موفق به کشف «کلیدی مولکولی» شدهاند که میتواند سلولهای سرطانی را معکوس کند. از این کشف بهعنوان پیشرفتی چشمگیر و راهی جدید در درمان سرطان یاد میشود.
به گزارش دیلیمیل، پژوهشگران کره جنوبی با فعالسازی این سازوکار مولکولی، توانستند سلولهای سرطانی را به وضعیت سالمتری بازگردانند.
این دستاورد به آنها امکان داد تا در لحظهای حیاتی و پیش از تبدیل غیرقابل برگشت سلولهای طبیعی به سلولهای بیمار، مداخله کرده و روند پیشرفت بیماری را متوقف کنند.
دکتر تیفانی تروسو-ساندووال، متخصص سرطانشناسی بازنشسته مرکز سرطان مموریال اسلون کترینگ که در این پژوهش مشارکت نداشته، به دیلیمیل گفت: «این یافته با بازمهندسی سلولهای سرطانی به جای نابودی آنها، رویکردی نوین در درمان سرطان ارائه میدهد.»
برای درک بهتر این وضعیت دوگانه، دکتر تروسو-ساندووال مثال جالبی زد.
او توضیح داد: «تصور کنید آب در دمای ۱۰۰ درجه سانتیگراد در حال جوشیدن است، لحظهای گذرا وجود دارد که آب نه کاملا مایع است و نه کاملا بخار. این مرحله درست مانند مرحلهای در پیشرفت سرطان است که سلولها همزمان خصوصیات سالم و سرطانی را دارا هستند.»
با درک این مرحله گذار حساس، میتوان به اهمیت یافته جدید پی برد.
در حال حاضر، روشهای سنتی درمان سرطان بر خارج کردن سلولهای سرطانی از طریق جراحی یا از بین بردن آنها با پرتودرمانی یا شیمیدرمانی متمرکز هستند اما این پژوهش تازه به نظر میرسد راهکار سومی را کشف کرده که میتواند به بیماران سرطانی کمک کند سلولهای سالم خود را بازیابند.
به گفته دکتر تروسو-ساندووال، این روش میتواند به توسعه درمانهایی با عوارض کمتر نسبت به پرتودرمانی و شیمیدرمانی منجر شود.
درمانهای سنتی به تمام سلولهای بدن، نه فقط سلولهای سرطانی، آسیب میرسانند که منجر به عوارض جانبی شدید میشود و حتی ممکن است بیمار را مستعد ابتلا به بیماریهای دیگر، از جمله سرطانهای جدید کند.
علاوه بر این، یافتههای تازه میتواند راهی برای پیشگیری از تشکیل تومور در بیماران پرخطر باشد، مانند افرادی که سابقه خانوادگی این بیماری را دارند یا بهطور مداوم در معرض مواد سرطانزا مثل دود سیگار قرار میگیرند.
به گفته دکتر تروسو-ساندووال، این پژوهش همچنین به ما شناخت عمیقتری از زیستشناسی سرطان میدهد که میتواند راه را برای توسعه درمانهای شخصیسازی شده هموار کند.
نحوه عملکرد روش جدید
باید توجه داشت که سرطان به یکباره ایجاد نمیشود. این بیماری بهتدریج و در اثر انباشت تغییرات در دیانای سلولهای سالم در طول زمان رخ میدهد که نحوه عملکرد سلولها را دگرگون میکند.
پس از تجمع این تغییرات مخرب، سلولهای سالم به سلولهای سرطانی با عملکرد غیرطبیعی تبدیل میشوند.
در این فرآیند تدریجی، پژوهشگران موفق شدند یک پنجره زمانی کلیدی را شناسایی کنند. پنجرهای که سلولها وارد یک «حالت انتقال بحرانی» میشوند که همزمان دارای ویژگیهای سلولهای سالم و سرطانی هستند.
با استفاده از یک سیستم شناسایی مولکولی، تیم تحقیقاتی توانست سازوکارهای کنترلکننده این گذار را هدف قرار داده و مسیرهای مولکولی را شناسایی کنند که سلولها را به حالت طبیعی بازگردانند.
دکتر کوانگ-هیون چو، استاد زیستشناسی در موسسه پیشرفته علوم و فناوری کره و از نویسندگان این پژوهش گفت: «این مطالعه برای نخستین بار جزییات تغییرات درون سلولی در فرآیند سرطانزایی را در سطح شبکه ژنتیکی آشکار کرده است، فرآیندی که تا به امروز رازآلود باقی مانده بود.»
دکتر چو افزود که این اولین پژوهشی است که نشان میدهد کلید اصلی برای معکوس کردن روند تشکیل تومور، درست در همین لحظه تغییر نهفته است.
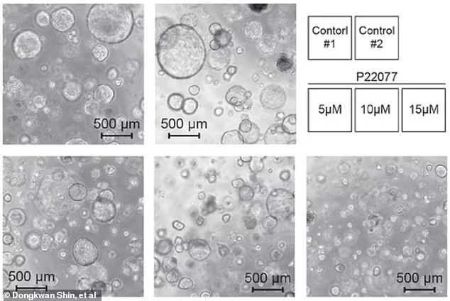
چو و همکارانش این روش درمانی جدید را روی مینی-تومورهای رشد یافته در آزمایشگاه (ارگانوئیدها) آزمایش کردند که از سلولهای سرطان روده بزرگ ساخته شده بودند.
در جریان این پژوهش، دانشمندان آنزیمی را شناسایی کردند که نقش کلیدی در رشد سرطان داشت.
این آنزیم از پروتئینهای سرطانزا محافظت میکند و نمیگذارد آنها تجزیه شوند و از بین بروند. در نتیجه، این پروتئینها در سلول باقی میمانند و به رشد تومور کمک میکنند.
هنگامی که محققان فعالیت این آنزیم را مسدود کردند، اتفاق جالبی افتاد؛ بدون محافظت این آنزیم، پروتئینهای سرطانزا شروع به تجزیه شدن کردند و از بین رفتند.
در نتیجه، سلولهای سرطانی (ارگانوئیدها) نه تنها از رشد باز ایستادند، بلکه به حالت طبیعی و سالم خود بازگشتند.
به گفته دکتر تروسو-ساندووال، اگرچه مفهوم «تمایز سلولی»، فرآیند تغییر حالت سلولها، موضوع تازهای نیست، اما سازوکاری که چو و تیمش کشف کردهاند و کاربرد آن در درمان سرطان، کاملا نوآورانه است.







روزنامه والاستریتژورنال، گزارش داد که ایلان ماسک و گروهی از سرمایهگذاران پیشنهادی ۹۷.۴ میلیارد دلاری برای تصاحب شرکت اوپنایآی( OpenAI) مالک هوش مصنوعی چتجیپیتی ارائه دادهاند، اما سام آلتمن مدیرعامل اوپنایآی این پیشنهاد را رد کرده است.
پیشنهاد غیرمنتظره ماسک، برنامههای سام آلتمن برای تبدیل اوپنایآی به یک شرکت انتفاعی را پیچیدهتر میکند.
بهگزارش والاستریتژورنال، کنسرسیومی از سرمایهگذاران به رهبری ایلان ماسک پیشنهاد خرید ۹۷.۴ میلیارد دلاری را برای تصاحب نهاد غیرانتفاعی کنترلکننده اوپنایآی ارائه کرده است. این اقدام تنش میان ماسک و سام آلتمن، مدیرعامل اوپنایآی، را بر سر کنترل شرکتی که چتجیپیتی را در اختیار دارد، تشدید کرده است.
مارک توبروف، وکیل ماسک، اعلام کرد که این پیشنهاد روز دوشنبه، ۲۲ بهمن، به هیئتمدیره اوپنایآی ارسال شده است.
پس از انتشار این خبر، سام آلتمن در پستی در شبکه اجتماعی ایکس، متعلق به ایلان ماسک، این شبکه را به نام سابقش توییتر خواند و با تمسخر پیشنهاد ایلان ماسک نوشت: «نه، ممنون، اما اگر دوست داشته باشید، ما توییتر را ۹.۷۴ میلیارد دلار میخریم.»
ایلان ماسک در واکنش به این پست، سام آلتمن را «شیاد» خواند.
تشدید رقابت بر سر آینده اوپنایآی
این پیشنهاد ناگهانی، چالش بزرگی برای برنامههای دقیق و از پیش تعیینشده آلتمن محسوب میشود؛ برنامههایی که شامل تبدیل اوپنایآی به یک شرکت انتفاعی و سرمایهگذاری ۵۰۰ میلیارد دلاری در زیرساختهای هوش مصنوعی از طریق پروژه مشترکی به نام استارگیت (Stargate) است. ماسک و آلتمن در حال حاضر درگیر یک نبرد حقوقی بر سر آینده اوپنایآی هستند.
ماسک در بیانیهای که از طریق وکیل خود منتشر کرد، گفت: «زمان آن رسیده که اوپنایآی به مسیر اصلی خود بازگردد؛ یک نیروی متنباز و ایمن که در راستای منافع عمومی فعالیت کند. ما این کار را عملی خواهیم کرد.»
مسیر پرپیچوخم تبدیل اوپنایآی به یک شرکت انتفاعی
ماسک و آلتمن در سال ۲۰۱۵ اوپنایآی را بهعنوان یک نهاد خیریه تاسیس کردند. اما در سال ۲۰۱۹، پس از خروج ماسک از شرکت، آلتمن یک زیرمجموعه انتفاعی برای اوپنایآی ایجاد کرد که از طریق آن سرمایهگذارانی همچون مایکروسافت توانستند در این شرکت سرمایهگذاری کنند.
اکنون، آلتمن در حال تبدیل این شرکت به یک نهاد کاملا انتفاعی و واگذاری کنترل نهاد غیرانتفاعی بر بخشی از سهام آن است. یکی از چالشهای اساسی در این فرآیند، ارزشگذاری نهاد غیرانتفاعی است. پیشنهاد ماسک، این ارزش را به سطح بالایی میرساند و ممکن است موجب شود که او یا هر فرد دیگری که کنترل نهاد غیرانتفاعی را در دست دارد، سهم بزرگی از اوپنایآی جدید را تصاحب کند.
سرمایهگذاران حامی پیشنهاد ماسک چه کسانی هستند؟
پیشنهاد ماسک از سوی شرکت هوش مصنوعی او، ایکسایآی (xAI)، پشتیبانی میشود و در صورت نهایی شدن معامله، ممکن است این شرکت با اوپنایآی ادغام شود.
علاوه بر ایکسایآی، سرمایهگذارانی همچون بارون کاپیتال (Baron Capital)، والور اکوئیتی پارتنرز (Valor Equity Partners)، ویوای کاپیتال (Vy Capital)، آتریدس منیجیمنت(Atreides Management) و ایت ویسی(8VC) نیز از این پیشنهاد حمایت کردهاند. جو لونسدیل، یکی از بنیانگذاران پالانتیر (Palantir)، و آری امانوئل، مدیرعامل شرکت هالیوودی اندیور(Endeavor)، نیز از این پیشنهاد حمایت میکنند.
دعوای حقوقی ماسک علیه اوپنایآی
ماسک شکایتهایی را علیه اوپنایآی تنظیم و این شرکت را متهم کرده که از ماموریت غیرانتفاعی خود منحرف شده و با ایجاد یک شاخه انتفاعی، با مایکروسافت برای تسلط بر توسعه هوش مصنوعی تبانی کرده است.
در ۷ ژانویه، وکیل ماسک نامهای به دادستانهای کل ایالتهای کالیفرنیا و دلاور که اوپنایآی در آنها مستقر است، ارسال کرد و خواستار برگزاری مزایده عمومی برای تعیین ارزش واقعی داراییهای غیرانتفاعی اوپنایآی شد. ماسک و سایر منتقدان معتقدند که اوپنایآی ممکن است در فرآیند تبدیل به یک شرکت انتفاعی، ارزش نهاد غیرانتفاعی را کمتر از حد واقعی برآورد کند.
در مقابل، اوپنایآی ادعاهای ماسک را بیاساس و اغراقآمیز خوانده و تاکید کرده که نهاد غیرانتفاعی این شرکت در مالکیت شرکت انتفاعی، ارزش واقعی خود را دریافت خواهد کرد.
اوپنایآی همچنین اسنادی را در ماه دسامبر سال گذشته منتشر کرد که نشان میدهد ماسک در گذشته از تبدیل شرکت به یک نهاد انتفاعی حمایت کرده بود، اما از آنجا که نتوانست کنترل آن را به دست بگیرد، از پروژه کنارهگیری کرد.
وکیل ماسک تاکید کرده که سرمایهگذاران او آمادهاند پیشنهاد خود را بر هر پیشنهاد بالاتری را تطابق دهند و یا از آن فراتر بروند.
او افزود: «اگر سام آلتمن و هیئتمدیره فعلی اوپنایآی قصد دارند این شرکت را به یک نهاد کاملا انتفاعی تبدیل کنند، بسیار مهم است که نهاد خیریه برای آنچه که از دست میدهد، یعنی کنترل مهمترین فناوری تحولآفرین دوران ما، غرامت مناسبی دریافت کند.»
پروژه استارگیت و تقابل آلتمن و ماسک
یک روز پس از آغاز ریاستجمهوری دونالد ترامپ، آلتمن در کنار او و سایر رهبران تجاری حضور یافت و از برنامهای به نام استارگیت رونمایی کرد که قصد دارد طی چهار سال آینده ۵۰۰ میلیارد دلار در مراکز دادهای ایالات متحده سرمایهگذاری کند.
با وجود رابطه نزدیک ایلان ماسک با ترامپ، او در این رویداد حضور نداشت.
چند ساعت بعد از این دیدار، ماسک در شبکه اجتماعی خود، ایکس، آلتمن را «شیاد» خواند و گفت که حامیان مالی استارگیت منابع مالی لازم را ندارند. آلتمن این ادعا را رد کرده است.
چالشهای دیگر اوپنایآی در مسیر تبدیل به یک شرکت انتفاعی
شرکت متا نیز در دسامبر نامهای به دادستان کل کالیفرنیا ارسال و مخالفت خود را با این فرآیند اعلام کرد.
اوپنایآی همچنین در حال مذاکره با مایکروسافت و سایر سهامداران است تا مشخص کند که چه مقدار سهام به آنها تعلق خواهد گرفت.
این شرکت وعده داده که تا اواخر ۲۰۲۶ فرآیند تبدیل را تکمیل کند. در جریان جذب سرمایه ۶.۶ میلیارد دلاری در اکتبر، ارزش اوپنایآی ۱۵۷ میلیارد دلار برآورد شد.
این شرکت در حال مذاکره برای جذب سرمایهای تا سقف ۴۰ میلیارد دلار است که ارزش آن را به ۳۰۰ میلیارد دلار افزایش میدهد. به گزارش وال استریت ژورنال، شرکت ژاپنی سافتبانک قصد دارد بین ۱۵ تا ۲۵ میلیارد دلار در این مرحله سرمایهگذاری کند.
اوپنایآی و سافتبانک بهطور جداگانه در تلاش هستند تا میلیاردها دلار سرمایه برای پروژه استارگیت جذب کنند، اما پیشنهاد ماسک باعث ایجاد تردیدهایی درباره آینده این پروژه شده است.
بر اساس تخمینهای فوربس، دارایی خالص ایلان ماسک تا عصر دوشنبه، ۲۲ بهمن، معادل ۳۹۱.۳ میلیارد دلار بوده است. او در حال حاضر ثروتمندترین فرد جهان است.
دارایی خالص سام آلتمن نیز حدود ۱.۲ میلیارد دلار برآورد شده است.
دانشمندان موفق شدند چگونگی سرکوب ترسهای غریزی در مغز را کشف کنند. این یافته جدید میتواند امیدی تازه برای میلیونها نفری باشد که از اختلالات اضطرابی، فوبیا و استرس پس از سانحه رنج میبرند.
به گزارش وبسایت تکنولوژی نِتورکز، محققان مرکز سینزبری ولکام در کالج دانشگاهی لندن ساز و کارهای دقیق مغزی را کشف کردهاند که به حیوانات امکان میدهد بر ترسهای غریزی خود غلبه کنند.
این دستاورد علمی که در مجله ساینس منتشر شده، میتواند نقطه عطفی در توسعه داروهای جدید برای درمان اختلالات مرتبط با ترس، از جمله فوبیا، اضطراب و اختلال استرس پس از سانحه، موسوم به «پیتیاسدی»، باشد.
یک تیم تحقیقاتی به سرپرستی سارا مدروس و سونیا هوفر در این مطالعه که روی موشها انجام شد، چگونگی یادگیری مغز را برای سرکوب واکنشها به تهدیدات به ظاهر خطرناک بررسی کردند.
به گفته مدروس، انسانها از بدو تولد واکنشهای غریزی به ترس نشان میدهند، مانند واکنش به صداهای بلند یا نزدیک شدن ناگهانی اشیا.
با این حال، ما از طریق تجربه میتوانیم بر این واکنشهای غریزی غلبه کنیم. نمونه بارز آن کودکانی هستند که به جای ترسیدن از صدای مهیب آتشبازی، بهتدریج میآموزند از آن لذت ببرند.
مدروس افزود تیم تحقیقاتی با استفاده از یک روش آزمایشی نوآورانه، واکنش موشها را به سایهای که در بالای سرشان گسترده میشد، مورد بررسی قرار داد. این سایه به گونهای طراحی شده بود که حمله یک شکارچی هوایی را شبیهسازی میکرد.
موشها در نخستین مواجهه با این تهدید بصری، بلافاصله به دنبال پناهگاه میرفتند؛ اما پس از مواجهههای مکرر و اطمینان از نبود خطر واقعی آموختند به جای فرار، آرامش خود را حفظ کنند.
این تغییر رفتار فرصت مناسبی را برای مطالعه چگونگی سرکوب واکنشهای مربوط به ترس در اختیار پژوهشگران قرار داد.
پژوهشهای قبلی نشان داده بود که بخشی از مغز به نام «هسته ژنیکولیت بطنی-جانبی»، در حالت فعال میتواند واکنشهای ترس را مهار و تجربههای پیشین مربوط به تهدید را ثبت کند.
از آنجا که این بخش از مغز پیامهایی قوی از نواحی بینایی قشر مغز دریافت میکند، پژوهشگران تصمیم گرفتند نقش احتمالی این مسیر عصبی را در یادگیری نترسیدن از تهدیدهای بصری بررسی کنند.
یافتههای این پژوهش نشان داد دو عنصر کلیدی در این فرآیند یادگیری نقش دارند؛ نخست آنکه بخشهای ویژهای از قشر بینایی برای شکلگیری این یادگیری ضروری هستند و دوم اینکه هسته ژنیکولیت بطنی-جانبی وظیفه ذخیرهسازی خاطرات حاصل از این یادگیری را بر عهده دارد.
نتایج آزمایشها نکته جالبی را آشکار کرد. مدروس در این خصوص گفت: «ما دریافتیم که غیرفعال شدن بخشهای خاصی از قشر بینایی، توانایی حیوانات را در یادگیری مهار واکنشهای ترس از بین میبرد. اما نکته شگفتانگیز این بود که پس از آنکه حیوانات یاد میگرفتند فرار نکنند، دیگر به قشر مغز برای مهار واکنشهای خود نیازی نداشتند.»
هوفر، دیگر سرپرست این پژوهش نیز گفت: «این نتایج، دیدگاههای رایج درباره یادگیری و حافظه را به چالش میکشد. تا امروز، همه تصور میکردند قشر مغز مرکز اصلی یادگیری، حافظه و انعطافپذیری رفتار است. اما ما دریافتیم که هسته ژنیکولیت بطنی-جانبی که در لایههای زیرین قشر مغز قرار دارد، مسئول ذخیره این خاطرات مهم است، نه قشر بینایی.»
او اضافه کرد: «این مسیر عصبی با ایجاد ارتباط میان فرآیندهای شناختی قشر مغز و رفتارهای از پیش برنامهریزی شده در ساقه مغز، به حیوانات امکان میدهد رفتارهای غریزی خود را تغییر دهند.»
طبق نتایج این پژوهش، یادگیری زمانی رخ میدهد که فعالیت عصبی در نورونهای خاصی از هسته ژنیکولیت بطنی-جانبی افزایش مییابد. این افزایش فعالیت با آزادشدن اندوکانابینوئیدها، مولکولهای پیامرسانی که خلق و خو و حافظه را در مغز تنظیم میکنند، آغاز میشود.
آزاد شدن این مولکولها پیامهای مهاری به نورونهای این بخش از مغز را کاهش میدهد و در نتیجه، هنگام رویارویی با محرک تهدیدآمیز بصری، فعالیت در این ناحیه افزایش یافته و واکنشهای ترس مهار میشوند.
هوفر درباره اهمیت این کشف گفت یافتههای پژوهش میتواند به درک بهتر اختلال در تنظیم واکنشهای ترس در مشکلاتی مانند فوبیا، اضطراب و اختلال استرس پس از سانحه کمک کند.
او اضافه کرد: «اگرچه واکنشهای غریزی ترس از شکارچیان برای انسان امروزی چندان اهمیتی ندارد، اما مسیر مغزی که ما کشف کردهایم در انسان نیز وجود دارد.»
این تیم پژوهشی اکنون قصد دارد با همکاری متخصصان بالینی، این مدارهای مغزی را در انسان مطالعه کند.
آنها امیدوارند این پژوهشها در آینده به توسعه درمانهای نوین و هدفمند برای واکنشهای نامتناسب ترس و اختلالات اضطرابی منجر شود.
پل هارگریوز، مدیرعامل موفق بریتانیایی که شرکتش در سال ۲۰۲۳ رتبه نخست جوایز کسب و کار نخبگان را کسب کرد، معتقد است برخلاف باور رایج، ایجاد روابط دوستانه در محیط کار نهتنها به کسب و کار آسیب نمیزند، بلکه میتواند کلید اصلی موفقیت رهبران و سازمانها باشد.
هارگریوز در مقالهای در مجله «الیت بیزنس» نوشت در عصر حاضر، با توجه به کمرنگ شدن مفهوم دوستی در رسانههای اجتماعی، باید به دیدگاه تازهای در این زمینه رسید.
او تجربه شخصی خود را بازگو کرد و افزود در آغاز کارآفرینی با دو توصیه متداول روبهرو شد: «از صمیمیت با کارمندان بپرهیز» و «فراموش کن که زمانی برای دوستی خواهی داشت».
با این حال، هارگریوز با تکیه بر سالها تجربه مدیریت موفق ثابت کرد که این باورها نادرست هستند.
هارگریوز در مقاله خود به کتاب «چهار عشق» اثر سی.اس. لوییس اشاره کرد و با تحلیل این کتاب، نگاه عمیقتری به مفهوم دوستی انداخت.
او توضیح داد که لوییس چهار نوع عشق را معرفی میکند: عشق عاطفی (که معمولا نسبت به کودک یا حیوان خانگی احساس میشود)، عشق جسمانی، عشق از روی دلسوزی و عشق دوستانه.
به گفته لوییس، تفاوت عشق دوستانه با عشق رمانتیک در این است که در دوستی، افراد در کنار هم برای رسیدن به هدفی مشترک تلاش میکنند، اما در عشق رمانتیک تمرکز اصلی افراد بر روی یکدیگر است.
به بیان دیگر، در دوستی، افراد شانه به شانه هم به سمت مقصدی مشخص گام برمیدارند، در حالی که در عشق رمانتیک، نگاه و توجه افراد مستقیما معطوف به یکدیگر است.
هارگریوز اعتقاد دارد این ویژگی دوستی، یعنی داشتن هدف و علاقه مشترک، دقیقا همان چیزی است که در محیط کار بهوفور یافت میشود.
در همین زمینه بخوانید: چگونه بحران سلامت روان در محیط کار را مدیریت کنیم
هارگریوز به پژوهش رابین دانبار، مردمشناس دهه ۱۹۹۰، اشاره کرد که نشان میدهد انسانها تنها قادر به حفظ حداکثر ۱۴۸ رابطه اجتماعی معنادار هستند.
از این تعداد، تنها سه تا پنج نفر در نزدیکترین لایه ارتباطی قرار میگیرند. این آمار حاکی از آن است که ادعای داشتن صدها دوست در رسانههای اجتماعی تا چه حد میتواند غیرواقعی باشد.
هارگریوز با اشاره به این تحلیل نوشت محیط کار امروزی جایگزین اجتماعات محلی گذشته شده است.
او گفت: «۱۰۰ سال پیش، محله مکان اصلی شکلگیری دوستیها بود، اما امروزه با گسترش شهرنشینی و تنهایی مدرن، محیط کار به جامعه اصلی افراد خارج از خانواده تبدیل شده است.»
این مدیر موفق با اشاره به تعریف دوستی در فرهنگ لغت اوربان، آن را «دوست داشتن با تمام وجود و تمایل صادقانه به شادی دیگری، حتی به قیمت فداکاری شخصی» دانست.
هارگریوز تاکید کرد شرکتهایی با چنین فرهنگی، موفقترین کسب و کارها هستند. این نظریه با نگاهی به فهرست «بهترین محلهای کار» نشریه ساندی تایمز که اکثر برندگان آن از موفقترین شرکتهای بریتانیا هستند، تایید میشود.
یکی از نکات کلیدی که هارگریوز بر آن تاکید دارد، اهمیت پذیرش آسیبپذیر بودن رهبران است.
او گفت: «رهبرانی که احساسات و نگرانیهای خود را با تیم در میان میگذارند، اعتماد بیشتری را به خود جلب میکنند. برای مدتها، رهبران تلاش میکردند احساسات خود را پنهان کنند، اما امروز میدانیم که شفافیت و صداقت به ایجاد فرهنگ سازمانی بهتری منجر میشود.»
در همین زمینه بخوانید: چگونه میتوان اختلافات سیاسی را در محیط کار مدیریت کرد؟
هارگریوز با اشاره به اهمیت فرهنگ دوستی در سازمان نوشت رهبران باید الگوی این فرهنگ باشند تا سازمان قویتری به وجود آید.
او معتقد است در چنین محیطی باید حواسمان به افرادی باشد که از برقراری رابطه دوستی پرهیز میکنند. هر چند باید این افراد را حمایت کرد و در جمع پذیرفت، اما اگر همچنان تمایلی به خروج از انزوا نداشتند، باید نسبت به تاثیر منفیشان بر فرهنگ پویای سازمانی هوشیار بود.
هارگریوز در جمعبندی مقالهاش نوشت: «آیا میخواهید در سال ۲۰۲۵ پیشرفت کنید؟ با همکاران و افراد خارج از محیط کار دوستیهای سازنده برقرار کنید. این دوستیها شما را به رهبری بهتر و انسانی شادتر تبدیل خواهند کرد.»
این دیدگاهها حاصل تجربه موفق هارگریوز در مقام مدیرعامل شرکت کاتسوولد فیر و فلوریش است.
شرکت او در سال ۲۰۱۵ جزو اولین شرکتهای بریتانیایی بود که گواهینامه بیکراپ (B Crop) را دریافت کرد و توانست در سال ۲۰۲۳ رتبه نخست جوایز کسب و کار نخبگان را به دست آورد.
موفقیتها و تجربیات او که در دو کتاب «نیروهای خیر» و «چهارمین خط پایان» منتشر شده، نشان میدهد که برای موفقیت در دنیای کسب و کار امروز، باید در مفاهیم سنتی رهبری و مدیریت بازنگری کرد.
نتایج یک پژوهش تازه نشان میدهد یکسوم زنان آمریکایی به دلیل تعصبات جنسیتی و تجربههای منفی، از مراجعه به پزشک خودداری میکنند. این موضوع، سلامت زنان را بهطور جدی در معرض خطر قرار داده است.
نشریه فوربز با استناد به نتایج پژوهش موسسه تحقیقاتی تاکر نوشت حدود ۳۳ درصد زنان اعلام کردهاند که در انجام بهموقع معاینات پزشکی ضروری خود با مشکل روبهرو شدهاند.
این تحقیق روی دو هزار زن آمریکایی به انجام رسید.
بیشترین تاخیر در انجام معاینات پزشکی مربوط به ماموگرافی با ۳۶ درصد بوده است. پس از آن، معاینات زنان با ۳۲ درصد و چکاپ سالانه با ۲۷ درصد در رتبههای بعدی قرار دارند.
بر اساس یافتههای پژوهش موسسه تاکر، اضطراب از مراجعه به پزشک با ۳۳ درصد مهمترین دلیل این تاخیر است.
مشکلات مالی با ۳۱ درصد و کمبود وقت به دلیل رسیدگی به فرزندان با ۱۸ درصد از دیگر دلایل تاخیر در انجام معاینات پزشکی زنان عنوان شدهاند.
این در حالی است که طبق توصیههای گروه ویژه خدمات پیشگیرانه ایالات متحده و متخصصان زنان و زایمان، زنان باید بهطور منظم معاینات بهداشتی شامل تست پاپ اسمیر را هر سه سال یک بار، ماموگرافی را دستکم دو سال یک بار و معاینه فیزیکی را به شکل سالانه انجام دهند.
مردان نیز تمایل چندانی برای مراجعه به پزشک از خود نشان نمیدهند. نتایج نظرسنجی کلینیک کلیولند در سال ۲۰۱۹ نشان داد از حدود هزار و ۱۷۴ مشارکتکننده، ۷۷ درصد مردان متاهل ترجیح میدهند به جای رفتن به مطب پزشک، با همسرشان به خرید بروند.
تنها نیمی از پاسخدهندگان، چکاپ سالانه را بخشی از برنامه مراقبت از سلامت خود میدانستند و ۲۰ درصد اعلام کردند با پزشک خود همیشه صادق نبودهاند.
تفاوت دلایل مراجعه نکردن به پزشک در زنان و مردان
دلایل مراجعه نکردن به پزشک در زنان و مردان متفاوت است. مردان اغلب به دلیل باورهای اجتماعی و فرهنگی که از کودکی در آنها شکل گرفته، به پزشک مراجعه نمیکنند.
پژوهشها حاکی از آن هستند که ۴۱ درصد مردان از دوران کودکی آموختهاند که «یک مرد نباید درباره مشکلات سلامتیاش شکایت کند».
در سوی مقابل، دلایل اجتناب زنان از مراجعه به پزشک، علاوه بر اضطراب عمومی، ریشه در تبعیض جنسیتی دارد.
پژوهش موسسه تاکر نشان میدهد شش درصد زنان معتقدند جنسیتشان در نحوه تشخیص بیماری موثر است، ۱۰ درصد احساس میکنند مورد قضاوت قرار میگیرند و ۱۵ درصد میگویند علائم بیماریشان نادیده گرفته میشود.
نقشهای سنتی و فشار مسئولیتهای خانوادگی
نقشهای سنتی جنسیتی نیز یکی دیگر از موانع مراجعه زنان به پزشک است.
زنان همواره نقش اصلی مراقبت از خانواده را بر عهده داشتهاند و بخش عمده کارهای بدون دستمزد خانه مانند آشپزی، نظافت و پرستاری را انجام میدهند.
آمارها نشان میدهد ۶۵ درصد مراقبتهای بدون دستمزد از کودکان، والدین، همسر و حتی حیوانات خانگی به دست زنان صورت میگیرد که این مساله به بهای سلامت آنها تمام میشود.
بر اساس یافتههای تحقیق موسسه تاکر، ۶۶ درصد زنان وظایف خانوادگی را به سلامت خود ترجیح میدهند و ۱۸ درصد زنانی که در انجام معاینات دورهای عقب هستند، میگویند به دلیل مراقبت از فرزندان وقت کافی ندارند.
نظرسنجی سال گذشته نشریه دیجیتال اسکیم که در حوزه مسائل زنان فعالیت دارد، نیز تایید میکند ۵۸ درصد زنان اغلب سلامت خانواده را به سلامت خود ترجیح میدهند و ۶۳ درصد زنان در اولویت قرار دادن سلامت خود مشکل دارند.
فوربز نوشت زن بودن بهطور پیش فرض با نقش مراقبت از دیگران گره خورده است. این مساله نه تنها باعث میشود زنان نتوانند یا نخواهند به پزشک مراجعه کنند، بلکه حتی در صورت مراجعه نیز ممکن است به دلیل جنسیتشان مورد بیتوجهی، قضاوت یا تشخیص نادرست قرار گیرند.
پیامدهای جدی بیتوجهی به سلامت
نادیده گرفتن مراجعه منظم به پزشک میتواند پیامدهای جدی به دنبال داشته باشد.
بر اساس پژوهش موسسه تاکر، ۲۸ درصد زنان حتی با وجود علائم بیماری قلبی، بهجای مراجعه به پزشک ترجیح میدهند استراحت کنند.
همچنین ۴۱ درصد زنان ۱۸ تا ۴۱ ساله، آزمایش کلسترول را که یکی از مهمترین روشهای تشخیص خطر بیماری قلبی است، هر چهار تا شش سال انجام نمیدهند.
این در حالی است که بیماریهای قلبی-عروقی علت اصلی مرگ و میر زنان به شمار میرود و جان یک نفر از هر سه زن را میگیرد.
بیش از نیمی از زنان میگویند نسبت به مشکلات سلامتی که نمیتوانند ببینند یا حس کنند، نگرانی کمتری دارند.
این بیتوجهی در حالی صورت میگیرد که بسیاری از بیماریهای خطرناک مانند فشار خون بالا، پوکی استخوان و سرطان تخمدان در ابتدا علائم آشکاری ندارند.
آمارها نشان میدهد نزدیک به نیمی از زنان بالای ۱۸ سال به فشار خون بالا مبتلا هستند، اکثر مبتلایان به پوکی استخوان را زنان تشکیل میدهند و سرطان تخمدان، با وجود شیوع کم، کشندهترین سرطان در میان سرطانهای زنان است.
بیتوجهی به شکایتهای پزشکی زنان میتواند به تشخیص نادرست یا تشخیص ندادن بیماریهای مهمی مانند اوتیسم، بیماریهای خودایمنی و مشکلات زنان منجر شود.
تنها ۲۰ درصد دختران مبتلا به اوتیسم پیش از ۱۱ سالگی تشخیص داده میشوند، در حالی که این رقم برای پسران ۵۰ درصد است.
همچنین بیش از ۴۰ درصد زنان مبتلا به بیماریهای خودایمنی جدی میگویند شکایتهای پزشکیشان نادیده گرفته شده و ۲۴ درصد زنان تجربه تشخیص اشتباه در مورد بیماریهای زنان مانند آندومتریوز، سندرم تخمدان پلیکیستیک، حاملگی، کیستهای تخمدان و دردهای قاعدگی را داشتهاند.
تکرار یک داستان قدیمی
تبعیض جنسیتی در نظام سلامت سابقهای طولانی دارد و به دوران مصر و یونان باستان برمیگردد.
برای نمونه، واژه «هیستری» که برای توصیف یک بیماری مختص زنان به کار میرفت، از کلمه یونانی «رحم» گرفته شده است.
یافتههای جدید تایید میکنند که تبعیض جنسیتی در نظام سلامت همچنان ادامه دارد؛ مشکلی که نه تنها باعث میشود زنان جدی گرفته نشوند و تشخیصهای نادرست دریافت کنند، بلکه از همان ابتدا آنها را از مراجعه به پزشک برای آزمایشهای ضروری مانند پاپ اسمیر، ماموگرافی یا حتی معاینات سالانه باز میدارد.
رویاها که زمانی تنها در قلمرو روانشناسان و رواندرمانگران بود، امروزه به یکی از چالشبرانگیزترین حوزههای پژوهشی برای دانشمندان علوم اعصاب تبدیل شده است. با وجود پیشرفتهای علمی، هنوز پاسخ روشنی برای پرسشهای اساسی درباره کارکرد رویاها و چگونگی شکلگیری آنها در مغز وجود ندارد.
چرا رویا میبینیم؟
به گزارش نشریه اوراسیا روییو، انسانها بهطور میانگین هر شب سه تا شش بار رویا میبینند و در طول عمر خود، حدود پنج تا شش سال را در حالت رویا سپری میکنند.
دانشمندان معتقدند رویاها داستانهایی هستند که مغز در مرحله حرکت سریع چشم (REM) برای خود تعریف میکند.
به گفته رحول جندیال، جراح مغز و اعصاب و نویسنده کتاب «چرا رویا میبینید»، برخی رویاها ارزش توجه ویژه دارند، بهویژه رویاهایی که با احساسات قوی و تصاویر واضح همراه هستند.
سیدارتا ریبیرو، نویسنده کتاب «پیشگوی شب: تاریخ و علم رویاها»، معتقد است رویاها یک «ماشین عصبشناختی پیچیده» هستند که آیندههای احتمالی را بر اساس تجربیات گذشته شبیهسازی میکنند.
مراحل خواب و ساختار رویا
خواب دارای پنج مرحله متوالی است؛ مرحله اول با خواب سبک و کاهش فعالیتهای بدنی آغاز میشود. در مرحله دوم حرکات چشم متوقف و امواج مغزی کندتر میشوند. مراحل سوم و چهارم با امواج دلتا مشخص میشوند.
مرحله پنجم یا REM، که مهمترین مرحله رویا دیدن است، با تنفس نامنظم، حرکات سریع چشم، فلج موقت ماهیچهها و افزایش ضربان قلب همراه است. تقریبا تمام رویاهای ما در این مرحله شکل میگیرند.
منشا تکاملی رویا
یکی از پرسشهای مهم در مطالعه رویا، ریشههای تکاملی آن است.
دانشمندان با این پرسش اساسی روبهرو هستند که آیا توانایی رویا دیدن در طول صدها میلیون سال بهطور مستقل در گونههای مختلف جانوری به وجود آمده یا اینکه همه موجوداتی که رویا میبینند، این ویژگی را از یک جد مشترک به ارث بردهاند.
جالب است بدانید که همه حیوانات رویا میبینند. رفتار آنها در هنگام خواب، شامل حرکت سریع چشم، انقباض عضلانی و صداهای غیرارادی، شبیه انسانها است.
تحقیقات میشل ژووه، عصبشناس فرانسوی، در دهه ۱۹۶۰ نشان داد که فعالیت مغز گربهها در خواب مشابه زمانی است که در حال شکار هستند.
چرا رویاها را فراموش میکنیم؟
در پاسخ به این پرسش، زیگموند فروید نظریه جالبی دارد. او معتقد است ما رویاهایمان را فراموش میکنیم زیرا ضمیر ناخودآگاه ما در تلاش است تا خواستهها و امیال سرکوبشدهای را که در رویاها ظاهر میشوند، از دسترس آگاهی ما دور نگه دارد.
به عقیده فروید، فراموشی رویاها یک ساز و کار دفاعی است که ذهن برای محافظت از خود در برابر افکار و تمایلات ناخوشایند به کار میگیرد.
مطالعات نشان میدهد انسانها بهطور معمول ۹۵ درصد رویاهای خود را در پنج دقیقه نخست پس از بیداری فراموش میکنند، هرچند رویاهای ناخوشایند معمولا ماندگاری بیشتری در حافظه دارند.
نقش رویا در شکلگیری حافظه
دانشمندان دریافتهاند که رویاها نقش مهمی در پردازش خاطرات دارند. معمولا یک هفته طول میکشد تا خاطرات در رویاها ظاهر شوند.
دو نوع حافظه در رویاها نقش دارند: خاطرات شخصی (مانند وقایع زندگی) و خاطرات رویدادی (مانند وقایع مهم اجتماعی).
البته تنها حدود یک تا دو درصد رویاها بهطور مستقیم با خاطرات روز قبل مرتبط هستند.
نقش استرس و اضطراب در کابوس دیدن
تحقیقات نشان میدهد حالات عاطفی منفی مانند استرس و اضطراب میتوانند باعث رویاهای ناخوشایند شوند. به همین دلیل است که حدود ۸۰ درصد افراد مبتلا به اختلال استرس پس از سانحه (PTSD) کابوسهای مکرر را تجربه میکنند.
میشل درروپ، متخصص طب خواب در کلینیک کلیولند، معتقد است رویاها به ما کمک میکنند تا احساسات خود را پردازش و مدیریت کنیم.
رویا و خلاقیت
تاریخ علم نشان میدهد که بسیاری از دانشمندان و مخترعان در رویا به ایدههای مهم خود دست یافتهاند.
برای مثال، آگوست کِکوله پس از دیدن رویای مار اوروبوروس، ساختار مولکول بنزن را کشف کرد. دیمیتری مندلیف نیز جدول تناوبی را در خواب دید.
تفاوتهای جنسیتی در رویا
تحقیقات نشان میدهد که محتوای رویاهای زنان و مردان تفاوتهای جالبی دارد.
اگرچه میزان پرخاشگری، دوستی یا محتوای جنسی در رویاهای دو جنس تفاوت معناداری ندارد، اما زنان بیشتر درباره کودکان و خانواده رویا میبینند.
رویاهای رنگی یا سیاه و سفید؟
جالب است بدانید که سن افراد در رنگی یا سیاه و سفید دیدن رویاها تاثیر دارد.
مطالعات حاکی از از آن است که حدود ۸۰ درصد افراد زیر ۳۰ سال رویاهای رنگی میبینند، در حالی که تنها ۲۰ درصد افراد بالای ۶۰ سال چنین تجربهای دارند.
این تفاوت میتواند به دلیل تاثیر تلویزیون رنگی بر نسلهای جدیدتر باشد.
رویادرمانی
امروزه روانشناسان از رویاها برای درمان برخی اختلالات روانی بهره میبرند.
بهعنوان مثال، برای درمان کابوسهای مکرر از روش «تمرین تصویرسازی» استفاده میشود که در آن بیمار با کمک درمانگر، محتوای کابوس را بازنویسی میکند تا جنبههای آزاردهنده آن کاهش یابد.
رویاهای شهوانی
بر اساس یافتههای تحقیقات، اکثر افراد رویاهای شهوانی میبینند. افرادی که در روابط عاطفی هستند، اغلب رویاهایی با محتوای خیانت میبینند، صرف نظر از اینکه رابطهشان سالم باشد یا نه.
نکته جالب اینکه اگرچه محتوای این رویاها میتواند متنوع باشد، اما شخصیتهای حاضر در آنها معمولا از گروه محدودی از افراد آشنا (مانند شخصیتهای مشهور، اعضای خانواده، و حتی افراد نه چندان خوشایند محیط کار) هستند.
دانشمندان معتقدند این قبیل رویاها میتوانند یک ساز و کار تکاملی برای افزایش احتمال تولید مثل و بقای گونه باشند.
رویاهای پایان زندگی
پدیده جالبی که در بیماران در آستانه مرگ مشاهده شده، این است که با وجود دشواریهای روزانه، رویاهای آنها سرشار از آشتی، امید و احساسات مثبت است.
بر اساس یافتههای جندیال، رویاهای پایان زندگی پدیدهای رایج هستند و عموما جنبه مثبت دارند.
او به شواهدی دست یافته که نشان میدهد مرگ ممکن است با یک رویای نهایی همراه باشد. وقتی قلب از کار میایستد، با آخرین جریان خون در سرخرگ کاروتید به سمت مغز، فعالیت الکتریکی مغز در یک یا دو دقیقه پس از مرگ قلبی به اوج میرسد.
این الگوها شبیه الگوهای امواج مغزی گسترده در زمان رویا دیدن و یادآوری خاطرات هستند.
با وجود پیشرفتهای علمی، دنیای رویاها همچنان پر از رمز و راز است. شاید همین ابهام و پیچیدگی است که رویاها را به یکی از جذابترین موضوعات برای مطالعه تبدیل کرده است.
به قول یکی از محققان، رویاها دریچهای به درون ما هستند که حتی بهترین درمانگران هم نمیتوانند به آن دسترسی پیدا کنند.