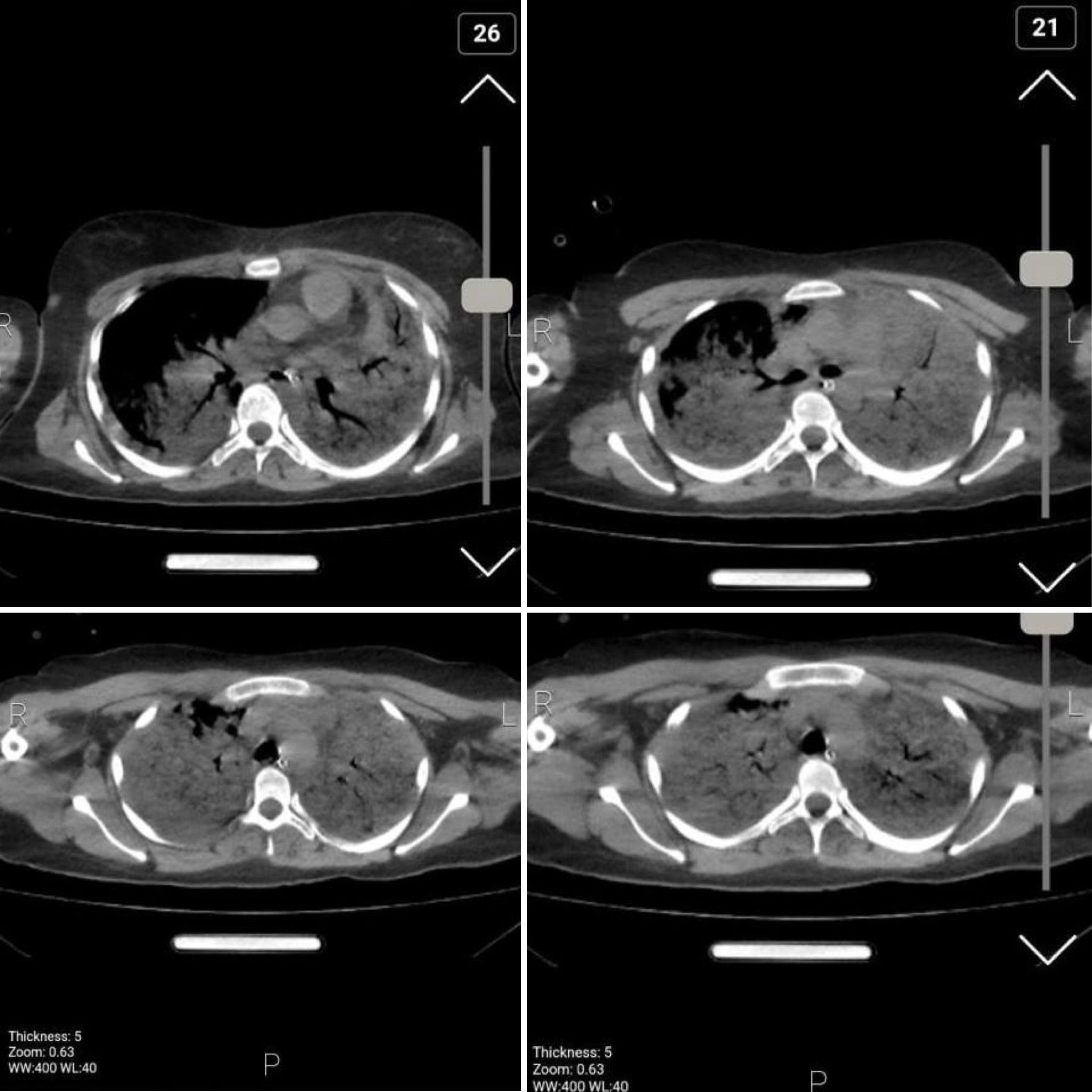
اختصاصی ایراناینترنشنال: سیتیاسکن مهسا نشانگر وجود ترشحات و خون در ریه اوست

تصاویر اختصاصی از سیتیاسکن مهسا امینی که از سوی یک گروه هکری در اختیار ایراناینترنشنال قرار گرفته است نشانگر وجود ترشحات و خون در ریه اوست. به گفته پزشکان، تجمع مایعات در ریه، ناشی از ورود به کما در پی ضربه سنگین به سر اوست










