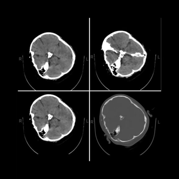
اختصاصی ایراناینترنشنال: سیتیاسکن مهسا نشانگر شکستگی جمجمه، خونریزی و اِدِم مغزی است

تصاویر اختصاصی از سیتیاسکن مهسا امینی که از سوی یک گروه هکری در اختیار ایراناینترنشنال قرار گرفته است، نشانگر شکستگی جمجمه در سمت راست سر او در اثر عوارض ناشی از ضربه مستقیم به جمجمه است.













